
مراحل انجام کامپوزیت دندان: همراه با فیلم و عکس
مراحل انجام کامپوزیت دندان موضوعی است که اگر قصد اصلاح طرح لبخند یا ترمیم ظاهر دندانها را دارید، دانستن آن خیالتان را راحتتر میکند. در
دکتر مجتبی صفار هرندی / دندانپزشکی زیبایی

مراحل انجام کامپوزیت دندان موضوعی است که اگر قصد اصلاح طرح لبخند یا ترمیم ظاهر دندانها را دارید، دانستن آن خیالتان را راحتتر میکند. در

تفاوت کامپوزیت و لمینت موضوعی است که برای بسیاری از افرادی که به زیبایی دندانهای خود اهمیت میدهند، سوالبرانگیز است.در این مقاله بررسی میکنیم کامپوزیت

بلیچینگ دندان عصب کشی شده یکی از روشهای زیبایی پرطرفدار برای برگرداندن رنگ طبیعی دندانهایی است که پس از درمان ریشه تیره شدهاند. این تغییر

روشهای زیبایی دندانها به شما کمک میکنند تا لبخندی دلانگیز و متناسب با چهرهتان داشته باشید. گاهی فقط یک تغییر کوچک در رنگ یا فرم

درد دندان بعد از عصب کشی ممکن است برای بسیاری از بیماران نگرانکننده باشد، اما در بیشتر موارد نشانهای طبیعی از روند ترمیم بافتهاست. پس

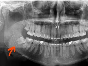
جراحی دندان عقل روی عصب جزو جراحیهای حساس دندانپزشکی است که حتما باید توسط متخصص انجام شود. وقتی ریشههای دندان خیلی نزدیک به عصب فک

بهترین زمان کشیدن دندان عقل زمانی است که رشد این دندان آخرین در دهان به مرحلهای میرسد که نه تنها درد یا التهاب ایجاد میکند،

مراقبتهای بعد از بلیچینگ دندان برای حفظ نتیجه درمان اهمیت زیادی دارد. بلیچینگ میتواند دندانها را سفید و درخشان کند، اما اگر بعد از آن

عوارض بلیچینگ دندان موضوعی است که بسیاری از بیماران پیش از شروع درمان به آن فکر میکنند، و کاملاً طبیعیست. اگرچه بلیچینگ یکی از روشهای

بلیچینگ دندان با لیزر یکی از پیشرفتهترین روشهای سفید کردن دندانهاست که در کلینیک دندانپزشکی و تحت نظر پزشک انجام میشود. در این روش، ژل